развития челюстей
и их лечение
Ортогнатическая хирургия – оперативное вмешательство для нормализации окклюзии и устранения диспропорций лица. В настоящее время в задачи ортогнатической хирургии входит не только восстановление функции, но и нормализация (улучшение) эстетических параметров (эстетики) лица.
Если еще не так давно ортогнатическая хирургия применялась для восстановления только лишь функциональных параметров, то на сегодняшний день она настолько эволюционировала, что порой пациенты обращаются за лечением, не имея нарушения функций (жевания, дыхания, нарушения работы ВНЧС и т.д.).
Неправильное положение или развитие челюстей напрямую влияют на всю зубочелюстную систему.
II скелетный класс (часто сопровождается дистальной окклюзией) – аномалия развития зубочелюстной системы, которая характеризуется недоразвитием нижней челюсти (микрогнатия, ретрогнатия) относительно верхней либо, реже, чрезмерным развитием верхней челюсти (верхняя макрогнатия).
Диагноз ставится на основании лицевых параметров и цефалометрического анализа. Имеет ряд клинических и антропометрических признаков.
II класс делится на два подкласса.
I подкласс
Внешние проявления: выпуклый профиль лица, недоразвитие подбородка, нередко присутствует уменьшение высоты нижней трети лица, часто сопровождается десневой улыбкой либо нормальной линией улыбки, верхние зубы либо имеют вестибулярный наклон, либо в норме, часто определяется протрузия нижних зубов (наклонены в сторону нижней губы).
II подкласс
При втором классе втором подклассе наблюдается уменьшение (снижение) высоты нижней трети лица, выраженный (выступающий) подбородок, закрытая улыбка (верхние зубы практически не видны), прямой либо вогнутый профиль за счет западания нижней трети лица, верхние зубы наклонены внутрь.
Также зачастую наблюдается выступание подбородка вперед относительно линии губ.
II класс II подкласс чаще всего соответствует гиподивергентному типу роста лицевого скелета.
В большинстве случаев при II скелетном классе страдает височно-нижнечелюстной сустав (ВНЧС). Хотя бывает, что именно заболевание сустава (идеопотическая резорбция суставной головки мыщелкового отростка нижней челюсти. Может быть одностороннее и двухстороннее) приводит к задвижению (смещению) нижней челюсти назад и, соответственно, образованию II скелетного класса и вертикальной дизокклюзии (открытого прикуса).
При II скелетном классе чаще проводится операция на двух челюстях. В некоторых клинических случаях при II классе I подклассе, если нет аномалии развития верхней челюсти, линия улыбки соответствует эстетическим потребностям пациента, нет наклона окклюзионной плоскости и срединная линия верхнего зубного ряда соответствует срединной линии лица – для восстановления функциональных параметров (нормализации окклюзии) операция проводится только на нижней челюсти. Гениопластика – по эстетическим показаниям.
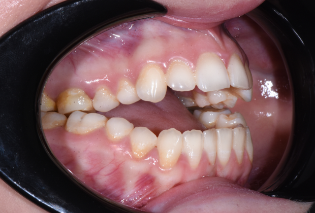
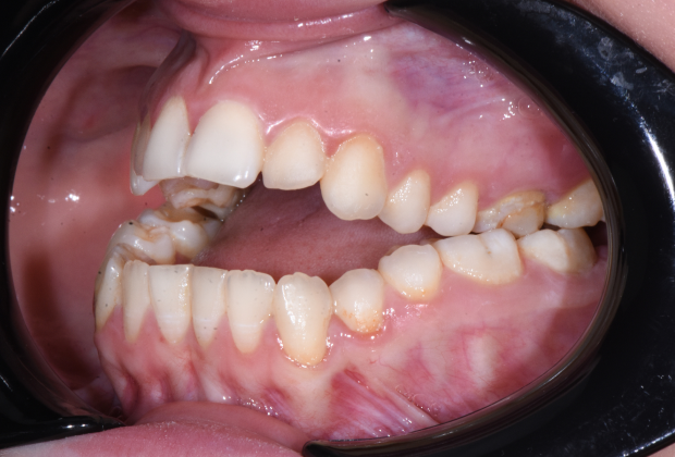
III скелетный класс – аномалия челюстей, характеризующаяся чрезмерным развитием (увеличением) нижней трети лица. Часто соответствует мезиальной окклюзии зубных рядов.
Признаки III скелетного класса: чрезмерное развитие нижней челюсти (макрогнатия), недоразвитие верхней челюсти (ретрогнатия, микрогнатия) или, что чаще всего, сочетание вышеперечисленных признаков.
Лицевые параметры: вогнутый профиль, массивная нижняя треть лица, нижняя губа выступает вперед относительно верхней, смещение верхней губы кзади. Подбородок выступает вперед относительно истинной вертикальной линии. Часто наблюдается увеличение высоты нижней трети лица.
По нашим данным, в 75% у пациентов с III классом определяется сужение верхней челюсти – истинная верхняя микрогнатия.
При III скелетном классе чаще всего проводится двухчелюстная ортогнатическая операция и, при необходимости, коррекция подбородка. В редких клинических случаях проводится операция только на одной челюсти (на верхней или на нижней), если одна из челюстей развита нормально и соответствует эстетическим параметрам.
Коррекция подбородка проводится чаще всего не по функциональным, а по эстетическим показаниям.
Аномалия, характеризующаяся несоответствием формы либо размеров одной половины челюсти (лица) относительно другой половины.
Асимметрия может быть за счет несоответствия размеров тела челюсти, ветви челюсти, мыщелкового отростка, также бывает асимметрия подбородка. Часто встречается асимметрия двух челюстей.
Среди основных причин асимметрии в работе указываются: травмы челюстно-лицевой области (родовая или приобретенная в процессе формирования челюстей и скелета лица); инфекционно-воспалительные заболевания, контрактура и анкилоз челюстей и височно-нижнечелюстного сустава, врожденные деформации костного скелета, аномалии с дистальным смещением головки нижней челюсти. В нижней челюсти имеются больше асимметрии по сравнению со значительно менее активной и неподвижной верхней челюстью.
При асимметричных аномалиях, в подавляющем большинстве случаев, операция проводится на обеих челюстях и подбородке (за редким исключением).
Очень часто асимметричная деформация сочетается как с III, так и со II скелетными классами и с вертикальной резцовой дизокклюзией.
(открытый прикус)
Аномалия, которая характеризуется отсутствием смыкания и вертикального перекрытия передней группы зубов.
Простыми словами, это отсутствие контакта зубов верхней и нижней челюстей при смыкании. В редких случаях вертикальная дизокклюзия проявляется в боковой группе зубов, но это имеет отношение больше к зубо-альвеолярным аномалиям, но не к скелетной патологии развития. Вертикальная дизокклюзия чаще всего соответствует гипердивергентному типу развития лицевого скелета. Но в некоторых клинических случаях вертикальная дизокклюзия является последствием патологии ВНЧС (резорбция суставных головок мыщелковых отростков нижней челюсти) (Кучеренко).
ВРД, как отдельная аномалия, имеет не такую высокую распространенность и чаще всего сочетается с другими аномалиями челюстей (III класс, II класс, асимметричная).
Тяжесть ВРД определяется по степеням: легкая, средняя и тяжелая. Л.С. Персин определил степени тяжести ВРД по отношению к вертикальной плоскости: 1-я степень – отсутствие резцового перекрытия от -1 до -3 мм; 2-я степень – от -3 до -5 мм; 3-я степень – от -5 мм и более.
Операция: в подавляющем большинстве случаев операция проводится двухчелюстная. ВРД – одно из показаний для проведения сегментарной остеотомии верхней челюсти (с выделением переднего фрагмента верхней челюсти с резцами 1.2 – 2.2 во время проведения остеотомии верхней челюсти).

Причины аномалии могут быть разными. И чаще всего это врожденная патология (генетическая наследственность). Реже аномалии челюстей возникают в результате травм.
Также присутствует ряд приобретенных причин, из них:
– Родовая травма
– Гиперплазия головки мыщелкового отростка нижней челюсти
– Вредные привычки: сосание пальца, продолжительное сосание соски, ротовой тип дыхания, неправильный тип глотания.
– Долгое грудное вскармливание
– Аденоиды
– Раннее выпадение молочных зубов

Для достижения правильного результата необходимо комплексное лечение, которое состоит из следующих этапов:
Подготовительный:
– профгигиена полости рта;
– лечение кариеса и его осложнений.
Хирургические подготовительные этапы:
– хирургическая санация полости рта;
– пародонтологическое лечение (пластика рецессий, направленная костная регенерация и т.д.);
– хирургическое расширение верхней челюсти (по показаниям).
Ортодонтическая подготовка:
– декомпенсация смыкания зубных рядов;
– нормализация положения зубов, формы и размеров зубных рядов.
Ортогнатическая операция.
Постхирургическое лечение и реабилитация:
– миогимнастика, механотерапия;
– ортодонтическая коррекция (нормализация фиссурно-бугорковых контактов);
– дентальная имплантация;
– рациональное протезирование;
– лечение, направленное на восстановление чувствительности;
– ретенционный период.


























































































